Özkan AYDIN/IĞDIR, (DHA)- IĞDIR'da, İran'dan yurda giren kişinin hastanede yapılan radyolojik görüntülemede İran uyruklu şüphelinin makatında uyuşturucu tespit edildi. Şüpheli ile onunla bağlantılı olduğu tespit edilen 2 kişi tutuklandı.
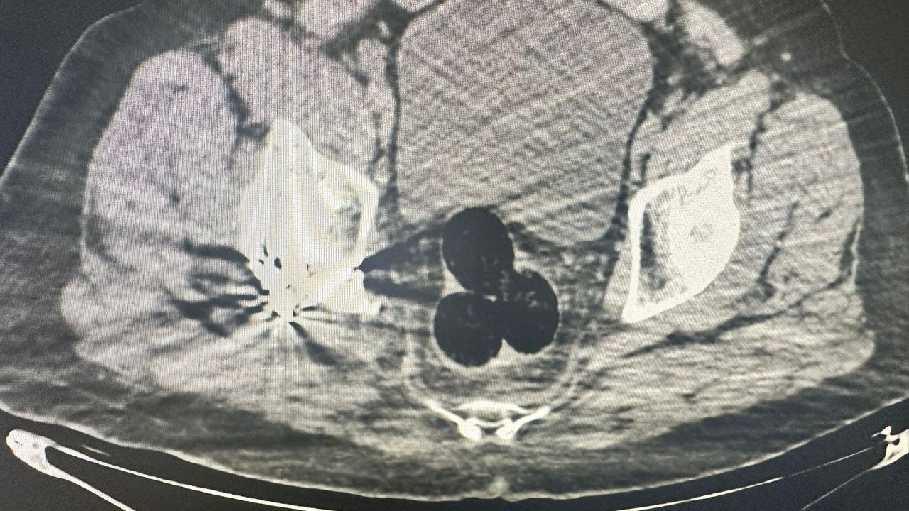
Iğdır Emniyet Müdürlüğü Narkotik Suçlarla Mücadele Şube Müdürlüğü ekipleri tarafından, İran'dan ülkeye giren bir kişi, şüphe üzerine hastaneye götürüldü. Burada yapılan radyolojik görüntülemede şüphelinin makatında 3 parça halinde yabancı cisim tespit edildi. Hastanedeki operasyonla çıkarılan 3 pakette 130 gram metamfetamin ele geçirildi. Şüpheli gözaltına alınırken, soruşturma kapsamında polis, bu kişiyle bağlantılı olduğu ve aldıkları uyuşturucuyu kentte kullanıcılara sattığı tespit edilen 2 şüpheliyi daha yakaladı. 47 gram daha metamfetamin ele geçirildi.
Şüpheliler, emniyetteki işlemlerinin ardından sevk edildikleri adliyede çıkarıldıkları mahkemede tutuklandı. (DHA)





